![]() |
| 作品情報 | 使用上の注意など | |||
|---|---|---|---|---|
| 作品番号 | 06400409 | クレジット表記 | (c)JAPACK / Artefactory | |
| 作品タイトル | 顕微鏡写真 | モデルリリース | なし | |
| 作家 | プロパティリリース | なし | ||
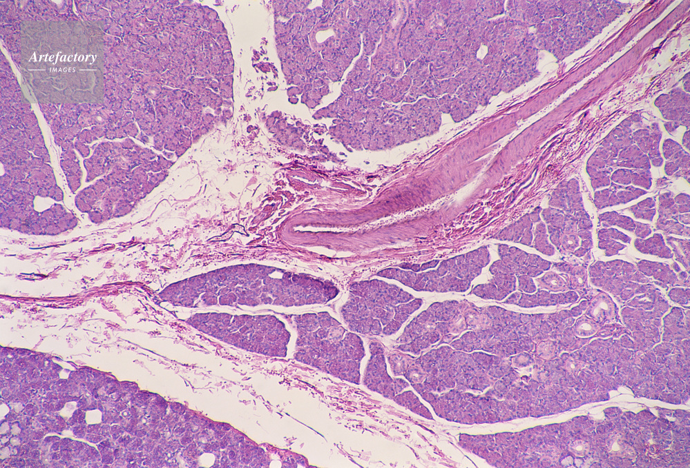
| キャプション | 下顎線,人間,40倍, | 制限事項 | ||
| コレクション | 注意事項 | 被写体やご利用方法によっては、事前に肖像権・商標権等に関する使用許可の取得が必要となる場合がございます。 | ||
| ソース | ピクセル数 | 5556px × 3775px | ||
| 撮影地 | 印刷サイズ | 30.3cm × 20.6cm | ||
| 撮影年月日 | データサイズ | 8.4MByte | ||
| 学術名 | ファイル形式 | JPEG | ||
| キーワード | ||||